
男子五脏六腑都反着长 为其做手术就像脑筋急转弯
日期:07-11 来源:未知(原标题:温州男子五脏六腑都反着长 为他做手术就像脑筋急转弯)
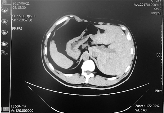
![]()
张先生的肝脏在左侧,脾脏在右侧,与正常人相反。
![]()
体内的脏器类似于正常人照镜子,五脏六腑的位置与常人相反,过着“颠倒”的人生,这就是我们常说的“镜面人”,发生概率只有百万分之一。
近日,温州医科大学附属第二医院刚刚完成一例镜面人腹腔镜直肠癌切除手术。这场“别扭”的手术,医生不仅要换站位,时长也比平常多了近一倍。
诊断出直肠癌需要手术
他脱口而出“我是镜面人”
张先生今年41岁,家住温州市区,已经反复便血约十年,近两三个月出血突然增多。今年6月中旬,他来到温州医科大学附属第二医院(以下简称附二医)做检查。这一查,竟然查出了直肠癌,肿瘤的直径有5厘米左右,幸运的是还没有发生病灶转移,需要立即切除。
得知需要手术,张先生脱口而出的第一句话就是:“我是个镜面人。”这意味着,他的心、肝、脾等脏器都在与常人相反的位置,肠道也是如此。“一般人的大肠是顺时针的,阑尾在右侧,而镜面人的大肠是逆时针方向,阑尾在左侧。”
7月1日,张先生正式入院治疗。虽然对医院的首例镜面人手术准备了许久,7月4日下午,真正开始手术的时候,肛肠外科副主任医师卢敏还是有些紧张:“毕竟,这一次手术完全对调了器官的位置,进行手术操作时会不习惯。”卢医生介绍,医生的操作习惯和技巧、手术器材等,都是按正常人的内脏方向设计的,现在要整个反过来,技术越熟练,越有可能会犯错。
手术前,为了避免“雷区”,医生围绕手术方式、步骤等一遍遍在心中做推演,确保不会因为习惯问题犯错。
幸运的是肿瘤位置还算好,在直肠手术中最大的困难在于血管和肠系膜是反向的。“以前都是站在右侧手术,这次需要先站在左侧处理好血管,然后再按照以往的习惯切除肿瘤。”
这种感觉,就像习惯了右手写字,突然就变成用左手写字,难度不亚于做了次“脑筋急转弯”。正常的腹腔镜直肠癌切除手术只需要两三个小时,这一次,卢医生在手术室整整待了四五个小时。
上学体检去拍X片
医生却以为他在恶作剧
昨天上午,钱报记者在病房见到了还在康复的张先生,他目前恢复良好。
张先生介绍,最初发现他的脏器有异样,还是在两个月大的时候。当时,还是婴儿的他咳嗽得厉害,医生拿着听诊器照常去听,却发现他的心脏不在左侧。心脏是反的,早在记事起,家人已经讲了无数遍。
上小学的那年需要体检,去拍X光片的时候,医生却特意喊他“不要背对着机器,脸朝向医生”,“其实他哪里知道,我当时就是脸朝着他的,他却以为我在开玩笑恶作剧。”
“除了内部器官位置相反,生活方面没有什么异常,游泳、潜水也没有任何影响。”爱好运动的张先生表示。
“镜面人是完全性内脏反位的俗称,通常表现为胸腔、腹腔器官及解剖结构的完全左右反位。”卢敏医师介绍,“镜面人”是在人体胚胎发育过程中,只有父母体内基因的一个位点同时突变才会出现,这种突变是隐性遗传,遗传几率很低,发生率约为百万分之一。
镜面人的生活和普通人并无差别
遗传几率很低
“镜面人”会遗传吗?钱江晚报记者曾采访过“镜面人”孕妇,她的例子说明这种突变是隐性遗传,遗传几率很低。
2008年9月,28岁的阿娟在杭州市中医院生下了一个白白胖胖的女儿,阿娟就是一位“镜面人”,不过这样奇特的身体状况,并没有影响到她的健康。随着孕期的增长,阿娟的心脏负荷加重,反着长的心脏也面临极大的考验,还出现了早搏,所幸在专家的监护下,怀孕后期以及最后的生产还算顺利,而她的女儿也没有遗传“镜面人”的特征。
镜面人的生活和普通人没有太大区别。2012年9月,60岁的“镜面人”吕大妈也曾因为胆囊结石和胆管结石到浙医二院接受治疗,腹腔镜外科主任王跃东说,“镜面人”虽然内脏全部反位,但只是位置发生变化,相互间的关系并未改变,因此生理功能与正常人一样,对健康和生活都没有太大影响。“他们如果做手术,也只是比正常手术时间长了一些。”
上一篇:小区保安与业主冲突 持钢筋捅死业主及妻弟后逃离
下一篇:全聚德后厨被指存在操作不卫生 回应将整改
本站所有信息由企业自行提供,信息内容的真实性、准确性和合法性、由企业负责,本站对此不承担任何保证责任,也不承担您因此而发生或交易致使的任何损害。
